
V jakém stavu jsou jednotlivé zuby

Vyšetření ukáže, zda je skus správný a zda jsou dásně zdravé.

Možnosti řešení do budoucna
Lékař vám vysvětlí, jaké ošetření může být nyní nebo v budoucnu vhodné.




Kompletní kontrolu chrupu lékařem
Lékař se vás zeptá na váš stav, obtíže a dosavadní stomatologickou péči.

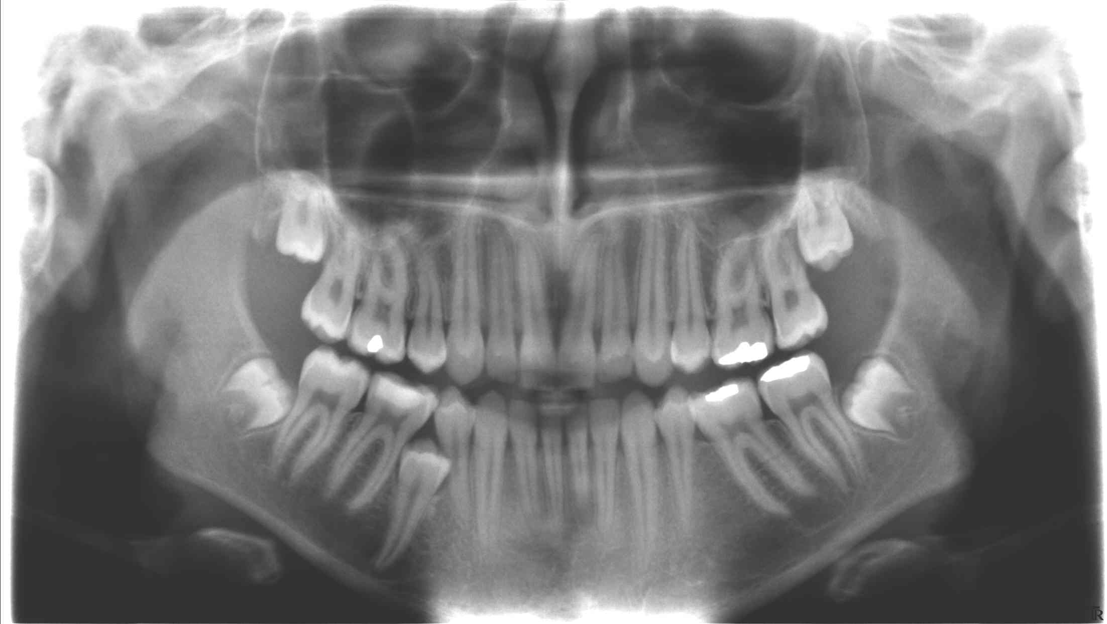
Digitální RTG snímky, kontrola dásní a analýzu skusu
Proběhne kontrola zubů, dásní a celkového stavu dutiny ústní.

Návrh další péče a léčebného plánu
Lékař vám srozumitelně vysvětlí, co je v pořádku a co je vhodné řešit.
Délka 45-60 minut
„Po operaci kolena mi doporučili Synefa a pana doktora Piskáčka a musím říct, že jsem byl opravdu překvapený. Přišel jsem o berlích a postupně jsem se díky jejich péči vrátil zpět na vlastní nohy. Skvělý přístup pana doktora Barny i celého personálu.“

Michal D.
„Synefa kliniku navštěvuji už několik let a jsem velmi spokojená. Lékař mi správně stanovil diagnózu a následná léčba i fyzioterapie mi výrazně pomohly. Oceňuji hlavně individuální přístup a profesionalitu.“

MUDr. Michala V.
„Na klinice jsem řešila patní ostruhu a vždy jsem byla spokojená. Personál je milý, profesionální a všechno mi vždy srozumitelně vysvětlili. Oceňuji komplexní péči i přístup fyzioterapeutů.“

Antonín M.
Cena komplexní diagnostiky
2 490,- Kč včetně DPH
platba na místě
Objednejte se na diagnostiku
Ozveme se do 24 hodin.

Je toto pro mě?
Je to pro vás, pokud:
Bude to bolet?
...
Jaké jsou další kroky?
...
